Информация об аборте
Материал опубликован:
Обновлён:
О внутриутробном развитии ребенка по неделям беременности с описанием его способностей
1 неделя. Рост и созревание яйцеклетки начинается с первого дня цикла. Зрелая яйцеклетка включает 23 хромосомы в качестве генетического материала для будущего зародыша, а также содержит все необходимые для начала его развития питательные вещества. В ней располагаются запасы углеводов, белков и жиров, предназначенные для поддержки зародыша в период первых дней после его возникновения.
2 неделя. В середине цикла яйцеклетка полностью созревает и покидает яичник. Она входит в брюшную полость. Данный процесс называется овуляцией. При регулярном цикле продолжительностью 30 дней овуляция наступает на пятнадцатый. Самостоятельно двигаться яйцеклетка не способна. Когда она покидает фолликул, бахромки маточной трубы обеспечивают ее проникновение внутрь. Маточные трубы характеризуются продольной складчатостью, они заполнены слизью. Мышечные движения труб имеют волнообразный характер, что при существенном множестве ресничек создает оптимальные условия для транспортировки яйцеклетки.
После оплодотворения происходит слияние хромосомных наборов родителей – по 23 хромосомы от каждого. В результате из двух различных клеток образуется одна, которая носит название зигота. Пол будущего ребенка зависит от того, какая из хромосом, Х или Y, была у сперматозоида. Яйцеклетки содержат только Х хромосомы. При сочетании ХХ на свет появляются девочки. Если же сперматозоид содержат Y хромосому, т. е. при сочетании ХY, рождаются мальчики. Как только в организме образовывается зигота, в нем происходит запуск механизма, направленного на сохранение беременности. Происходят изменения гормонального фона, биохимических реакций, иммунных механизмов, поступления нервных сигналов.
3 неделя. Как только пройдут сутки после образования зародыша, ему понадобится совершить свой первый путь. Движения ресничек и сокращение мышц трубы направляют его в полость матки. В течение этого процесса внутри яйцеклетки происходит дробление на одинаковые клеточки.
4 неделя. На четвертой акушерской неделе или второй неделе жизни зародыша его организм состоит из двух слоев. Эндобласт – клетки внутреннего слоя – станут началом пищеварительной и дыхательной систем, эктобласт – клетки внешнего слоя – дадут старт развитию нервной системы и кожи.
5 неделя. Пятая неделя развития эмбриона знаменательна обособлением тела будущего ребенка и внезародышевых вспомогательных структур – желточного мешка, амниотического пузыря, хориона. Продолжается процесс активного формирования органов и тканей. В данное время происходит зарождение всех основных систем будущего организма.
6 неделя. Эмбрион вырастает приблизительно от 3 мм до 6-7 мм. В это время форма зародыша является цилиндрической и напоминает в определенной степени зародыш рыбы. Возникают вдоль тела зачатки ручек и ножек, которые на шестой неделе имеют форму отростков. Ручки формируются быстрее нижних конечностей, к завершению шестой недели происходит образование зачатков кистей рук. Ноги в данный момент еще не сформированы и остаются в стадии зачатков. В это время должно произойти полное смыкание трубки, а из мозговых пузырей формируются зачатки полушарий.
7 неделя. В этом возрасте эмбрион достигает в длину 8-11 мм, его масса на седьмой неделе меньше грамма. Голова по размеру равна половине туловища, форма же тельца является дугообразной. Можно увидеть в нижней части тазового конца продолжение копчика, которое внешне напоминает хвостик.
8 неделя. Эмбрион к началу восьмой недели имеет длину 15-20 мм, а к ее завершению – 40 мм. Масса зародыша составляет пять грамм. После восьмой недели происходит завершение эмбрионального периода и начинается плодный. После восьми недель специалистами термин эмбрион больше не употребляется, будущий ребенок называется плод до момента его появления на свет. Основными особенностями восьмой недели являются интенсивное развитие и видоизменение зародыша. Происходит выпрямление тела, и оно все больше разделяется на сегменты – конечности, голову и туловище/
9 неделя. У плода выпрямляется спинка и исчезает зародышевый хвостик. Будущий ребенок становится полностью похожим на маленького человека. Голова на данном этапе прижата к груди, шея согнута, ручки также приведены к груди.
10 неделя. Важна и знаменательна, именно с нее начинается плодный этап развития, и будущий ребенок теперь официально называется плодом, а не эмбрионом. Уже заложены все внутренние органы, которым в будущем предстоит лишь расти и развиваться.
11 неделя. Плод на одиннадцатой неделе продолжает интенсивный рост. Внешне он выглядит следующим образом: достаточно большая голова, маленькие ножки, прижатые к животику, маленькое туловище и хорошо развитые длинные руки. Такое неравномерное развитие связано с тем, что основную массу питательных веществ и долю кислорода на протяжении всего предшествующего периода получала именно верхняя часть тела, в которой располагаются такие жизненно важные органы, как сердце и мозг.
12 неделя: У него отмечается интенсивное развитие головного мозга, формирование связей между спинным мозгом и большими полушариями. Если рассматривать строение мозга, оно напоминает уменьшенную версию мозга взрослого человека. На протяжении всех первых месяцев в крови плода были лишь эритроциты, но на двенадцатой неделе к ним прибавляются и лейкоциты, являющиеся защитниками организма и принадлежащие к иммунной системе.
13 неделя Плод интенсивно растет, у него удлиняются ноги и руки. Также происходит изменение пропорций тела, голова уже не смотрится настолько большой, как это было ранее. Будущий малыш уже умеет дотянуться до рта пальчиком и сосет его, что часто во время диагностики ультразвуком видят специалисты. Таким образом находит свое проявление сосательный рефлекс, который так важен для малыша в первое время после появления на свет
14 неделя Отчетливое формирование личика приводит к изменению внешнего вида плода. Переносица становится более выраженной, очерчиваются брови, округляются щеки. Ребенок двигается, он ощупывает себя за животик и щечки, держится за пуповину. К коже плода плотно прилегает зародышевый пушок, который покрывает все тельце.
15 неделя Растут конечности, они могут опережать размеры головы вследствие интенсивного развития костей ножек и ручек. Будущий малыш начинает активно сгибать пальчики и локти, на ладонях и пальчиках появляется уникальный кожный рисунок, начинается процесс формирования ногтей
16 неделя Происходит формирование мимических мышц у плода, он начинает их разрабатывать, что выражается в нахмуривании бровей, открывании и закрывании ротика. Плод получает возможность впервые открыть глазки, которые до этого момента были плотно прикрыты веками, он начинает учиться моргать. На месте ресниц и бровей можно видеть тоненькие пушковые волосики. Прослеживается ярко выраженная реакция плода на громкие звуки, но на данном этапе его среднее ухо еще не способно слышать. Реакция же обусловлена таким способом восприятия, как костная проводимость. Получается, что плод посредством плотных частей тела (костей) слышит.
17 неделя беременности знаменуется для малыша активным наращиванием массы его мышц, постепенным их укреплением, что позволяет ему двигаться в животике более интенсивно и разнообразно. Довольно частые движения конечностями помогают ребенку тренировать мышцы, а также развивать суставы коленей и локтей. На данном сроке ручки еще сжаты в кулачки, редко разжимаются, и только в целях захвата пуповины или же сосания пальчика. До 17 недель голова плода практически была без движений, довольно низко опущена, а подбородок плотно прилегал к грудной части. Укрепление мышц спинного и шейного отдела на этом сроке позволяет ребенку поднимать голову практически до вертикального положения.
18 неделя Внешний вид плода уже немного напоминает новорожденного ребенка и активно приближается к этому состоянию. Черты лица все больше становятся отчетливыми, расправляются ушки, которые ранее были плотно прижаты к голове, формируется среднее ухо, а также происходит совершенствование его восприятия. На данном сроке беременности малыш уже может воспринимать раздражители извне, реагировать наразного рода звуки. Шумы, которые происходят в организме мамы из-за активной работы внутренних органов, являются для него вполне нормальными, привычными, а также способствуют тренировке слухового восприятия
19 неделя характеризуется для плода интенсивным ростом конечностей в длину, увеличением размеров, замедлением роста головы. Его длина уже составляет 25 см, а вес – приблизительно 250-300 г. Ребенок сильно изменяется внешне, его тело уже больше не выглядит непропорциональным.
20 неделя На данном этапе развития ребенок достаточно активен, совершает многочисленные движения, поскольку места в матке ему хватает для кувыркания, отталкивания от стенок, а также другим движениям. Малыш может улыбаться, захватывать пуповину, щупать себя, хмуриться, зажмуривать глаза. Его мимика достаточно развита и более выражена, чем было ранее.
21 неделя Плод очень напоминает новорожденного малыша, однако из-за отсутствия подкожного жира тело еще очень худое, а голова кажется неестественно большой. На этом сроке происходит формирование ресниц и бровей, малыш учится моргать, а его кожа постепенно приобретает телесный цвет, уплотняется, на ней появляются перетяжки
22 неделя Малыш находится в постоянном движении, он умеет шевелить пальцами рук и ног, двигает головой вправо и влево. Ребенок умеет сосать большой палец, он наклоняет голову вперед и точно попадает пальцем в ротик. Такие действия свидетельствуют о повышении чувствительности и развитии вестибулярного аппарата, улучшении координации; ребенок уже ощущает положение собственного тела в пространстве
23 неделя – это интенсивное формирование дыхательной системы. Плод начинает постепенно совершать дыхательные движения.
24 неделя Малыш может кардинально менять положение своего тела, однако предпочитает перебирать пуповину, играть с ней, сгибать и разгибать ручки и ножки.
25 неделя кроха в основном занимает положение головкой вниз. Мама сможет даже ощутить, как икает малыш. Волноваться из-за этого не стоит, но врачу сообщить необходимо.
26 неделя Кроха уже отчетливо различает голоса родных, узнает мамин голос, знакомые звуки. Поэтому сейчас ему можно петь колыбельные песенки. Малыш слышит сердцебиение мамы и после рождения сможет лучше засыпать, если его положить к груди. Ребеночек может уже различить свет и тьму, у него продолжают формироваться глазные яблоки.
27 неделя Ребеночек активно готовится к рождению, тренируя ручки и ножки. Кроха начинает различать цвета и может поворачивать головку к источнику света, может почувствовать боль и сжимать при этом свои крохотные кулачки
28 неделя Волоски на голове, бровях и ресницах постепенно темнеют, и уже можно предположить, какого цвета они будут после рождения. Ребеночек все лучше различает звуки и голоса, в это время можно ставить колыбельные песенки, чтобы он начинал к ним привыкать. Кроха уже начинает моргать глазками и открывать немножко веки. Все больше малыш начинает различать вкус продуктов. Мамины предпочтения во вкусах и запахах передадутся и крохе, так как уже с этого периода он начинает привыкать к тому, что любит и кушает мама.
29 неделя на голове рост волос активизируется. Они становятся более плотными, темными и быстро отрастают. В утробе матери малыш часто моргает, шевелится менее активно, движения становятся не такими интенсивными и частыми, а более плавными.
30 неделя Грудная клетка малыша активно тренируется, расширяется и сжимается. Такие движения очень похожи на дыхательные.
31 неделя Стоит отметить, что ребенок во время сна закрывает глаза, а в период активности открывает. Веки развиты настолько хорошо, что плод уже может на данном этапе моргать, распахивать и закрывать глаза, жмуриться и даже прищуриваться. Попадание на живот яркого света заставляет малыша зажмуриваться, что свидетельствует о хорошем уровне развития его нервной системы
32 неделя беременности ребенок весит около 1 700-1 800 г, а длина его тела составляет 41-42 см. Стоит также отметить, что его черты лица приближаются к виду новорожденного, округляется личико, разглаживаются морщинки, волосы на голове активно подрастают.
33 неделя малыш активно продолжает расти и набирать вес, его рост уже около 44 см, а вес крошечного тела составляет приблизительно 1 800-1 900 г. В этот период крохе уже не так легко развернуться, он занимает больше места, отчего меняются и его шевеления. На этой неделе ребеночек много спит и поэтому меньше двигается, а также снижается амплитуда его движений. Мышцы становятся более крепкими, поэтому толчки хоть и редкие, зато достаточно сильные и более сконцентрированные. Для мамы шевеления малыша могут быть очень чувствительными и болезненными, отчего страдают внутренние органы. Кровеносные сосуды ребеночка уже расширяются и сокращаются, их стенки становятся толще, а тонус выше. Клетки головного мозга проходят процесс сцепления. Кожа крохи розовеет, а благодаря увеличению подкожного жира разглаживаются все складочки на теле. На головке крохи волосики становятся более темными и густыми, а волосиков, покрывающих тело, становится все меньше. Эта пушистая волосистость называется лануго.
34 неделя У малыша продолжают развиваться внутренние органы. Он глотает околоплодные воды много раз на протяжении дня. Воды проходят по ЖКТ и стимулируют работу мышц. Поджелудочная железа и печень перерабатывают плотную часть околоплодной жидкости, которая состоит из пушковых волосиков, смазки и мелких чешуек кожи. Жидкая составляющая вод выводится с помощью почек. Организм таким образом перерабатывает около полулитра вод. В желчном пузыре продолжает накапливаться желчь, обеспечивая подготовку к деятельности органов после рождения. Идет интенсивная подготовка к появлению крохи на свет, у него может измениться форма головы. При наступлении родов в этот период легкие ребеночка способны обеспечить организм необходимым количеством кислорода
35 неделя каждый малыш достигает своего веса и роста. Ориентировочно масса его тела составляет приблизительно 2 300 г, а рост до 47 см. Начиная с этой недели, рост и вес крохи будет постепенно увеличиваться на 250 г. Но эти параметры зависят от генетики и индивидуальных особенностей организма. К этому периоду уже заканчивается формирование всех систем и органов малыша и кардинальных перемен в теле не предвидится. Постепенно уменьшается количество слизи, которая покрывает кожу ребеночка. Практически уходит волосяной пушок с тела, а если он даже остается, то после рождения полностью исчезает. Тело становится розового цвета, мышцы крепче, а плечики приобретают округлую форму. Ребеночек уже практически полностью занимает полость матки, его ручки и ножки находятся в согнутом состоянии. Малышу уже очень тесно и мама может ощущать каждое его шевеление. Кроха часто меняет выражение лица, смыкая веки и сокращая мимические мышцы. На пальчиках появляются маленькие ногти. На этой неделе заканчивается формирование мочеполовой и нервной системы. То, что кости черепа еще не срослись, позволит легче проходить родовые пути. Важно в этот период контролировать количество шевелений малыша. За половину суток должно фиксироваться приблизительно 10 шевелений. Если шевелений значительно больше или меньше, маме следует проконсультироваться с врачом.
36 неделя Малыш начинает активно готовиться к рождению. Все органы ребеночка уже практически полностью созрели и могут самостоятельно функционировать. Вес малыша достигает 2 500 г, а его рост составляет приблизительно 46 см. Этот период является подготовительным для появления малыша на свет. К началу этой недели кроха занимает уже окончательное положение в матке. В преимущественном большинстве случаев он располагается лицом к спине мамы и вниз головкой. Такое положение самое безопасное при прохождении родовых путей и самое удобное. Если наблюдается тазовое предлежание малыша, возможно проведение кесаревого сечения. В данном случае все зависит от индивидуальных особенностей организма. Но на этой неделе возможно изменение положения тела только с тазового на головное, так как головка малыша тяжелее и эта часть тела перевешивает. Ребеночек постоянно сосет пальчик и его щечки становятся пухленькими. Кислород кроха получает также через пуповину и также совершает дыхательные и глотательные движения. Выглядит малыш в это время таким, каким и рождается, а кости черепа все еще остаются податливыми и мягкими для облегчения прохождения через родовые пути.
37 неделя рост малыша составляет приблизительно 48 см, а его вес – 2 600 г. Внешне плод почти не отличается от новорожденного, у него развиты все черты лица, ярко выражены хрящевые ткани. Накопление подкожного жира на таком сроке беременности делает очертания тела более мягкими и округлыми. Кожа ребенка постепенно разглаживается, она уже не такая розовая, как на предыдущих неделях внутриутробного развития, покровы постепенно светлеют. Тело малыша еще обильно покрыто смазкой, но количество пушка заметно уменьшается, пушковые волосы остаются только на плечах и спине, у некоторых малышей исчезают почти полностью.
38 неделя Все органы и системы отличаются физиологической и морфологической зрелостью, они полностью готовы к работе. На этом сроке ребенок готовится к родам, совершает дыхательные движения и готовит межреберные мышцы к дыханию. Ткани легких омываются околоплодной жидкостью, которая способствует поддержанию нужного уровня сурфактанта, покрывающего легкие младенца изнутри. Все элементы дыхательной системы готовы к использованию. С первым вдохом после рождения альвеолы начинают передавать кислород из воздуха в кровь, происходит газообмен, дыхательная и кровеносная система начинают интенсивно работать
39 неделя Все органы чувств ребенка развиты. Уже через несколько мгновений после рождения малыш может сфокусировать взгляд, он реагирует на яркий свет и движущиеся предметы, многие ученые утверждают, что новорожденные различают цвета, видят лица родителей и врачей. Слух малыша на последних неделях внутриутробной жизни также полностью развит, после рождения он реагирует на громкие звуки и шум. Новорожденный малыш умеет определять основные оттенки вкуса, распознавать кислое, горькое, сладкое и соленое
40 неделя. У большинства женщин происходят роды. На этом сроке малыш полностью готов к рождению, он соответствует всем параметрам доношенного ребенка. Перед родами ребенок тесно прижимает ручки и ножки к телу, максимально сгибает головку и прижимается к выходу из матки.
Вред от прерывания беременности поистине всесокрушающий! Организм женщины испытывает шок, так как все органы и системы, настроившиеся на развитие эмбриона, после его удаления испытывают «растерянность». Всем известно, что при наступлении беременности, одновременно начинается и полная перестройка организма, особенно это касается нервной и гормональной систем. При резком прерывании беременности в этих системах наблюдается сбой нервного и гормонального плана, что не может пройти незаметно для всего организма в целом. В первую очередь, это сказывается на менструальном цикле и на работе яичников. Но, помимо самих яичников, происходит нарушение в работе таких важных органов, как щитовидная железа, надпочечники, гипофиз. Наступает дисбаланс гормональной, иммунной, почечно-печеночной функций, регуляции артериального давления, объема циркулирующей крови. Женщина становиться раздражительной, ухудшается сон, повышается утомляемость. То есть возникает «идеальное состояние» для проникновения любой инфекции, провоцирующей развитие инфекционных и воспалительных заболеваний. Результатом воспаления придатков матки чаще всего становиться непроходимость маточных труб. В такой ситуации женщина не застрахована от внематочной беременности или бесплодия.
Внезапно наступившая беременность может нарушить ваши планы. Порой единственным выходом является искусственное прерывание. В такой ситуации остро встает вопрос о сохранности репродуктивной функции в будущем. Какова вероятность бесплодия после аборта, как сделать его более безопасным и как помочь организму восстановиться. На эти вопросы отвечает врач гинеколог высшей категории со стажем работы более 15 лет.
Приводит ли аборт к бесплодию?
Искусственное прерывание беременности нередко приводит к серьезным, иногда необратимым, последствиям. Бесплодие – это не единственное осложнение, также могут встречаться случаи невынашивания беременности, нарушения менструального цикла, хронические воспалительные процессы половых органов. Особенно велика вероятность неблагоприятных последствий после прерывания первой беременности в молодом возрасте. Риск осложнений у таких женщин составляет от 50 до 60%.
Поэтому гинекологи рекомендуют подобрать оптимальный способ контрацепции, который будет надежно защищать от нежелательной беременности. Если же вдруг незапланированное зачатие случилось, не затягивайте визит к врачу. Чем меньше срок гестации на момент искусственного прерывания, тем меньше риск потенциальных осложнений. Справедливо и обратное утверждение.
Почему же так происходит?
Бесплодие после аборта может развиваться вследствие различных патогенетических механизмов. В одних случаях, может иметь место повреждение базально слоя, который обеспечивает обновление эндометрия в каждом менструальном цикле. В такой ситуации гинекологам достаточно часто приходится иметь дело с тонким эндометрием, в который не может нормально имплантироваться оплодотворенная яйцеклетка. В итоге даже несмотря на произошедшее зачатие, беременность не наступает (очень ранние репродуктивные потери).
В других случаях, в полости матки может запуститься процесс разрастания соединительной ткани – образуются спайки. Такое состояние называется синдромом Ашермана. Эти соединительные тяжи деформируют полость матки и также нарушают имплантацию.
Третьей причиной бесплодия после аборта могут являться хронические воспалительные процессы, которые развиваются в половых органах. Хронический эндометрит не позволяет слизистой полноценно подготовиться к беременности. Это приводит либо к очень ранним потерям, которые еще даже биохимически нельзя уловить, либо к замершей беременности.
Причины бесплодия после аборта
Среди причин, вызывающих бесплодие после прерывания беременности, можно выделить следующие проблемы:
- Воспалительные процессы (чаще всего они начинаются после выскабливания плода, когда в поврежденные ткани проникает инфекция – ее очень легко занести).
- Спайки и рубцы (чаще всего они образуются в маточных трубах и других органах малого таза и впоследствии мешают нормальному прохождению сперматозоидов до яйцеклетки).
- Эндометриоз (патологическое разрастание тканей эндометрия, возможное после выскабливания или нескольких абортов).
- Дисбиоз влагалища (следствие медикаментозной терапии после хирургических абортов).
- Гормональный сбой и нарушения менструального цикла (обязательны после любого способа прерывания беременности, но в отдельных случаях приводят к непоправимым последствиям).
Многие женщины, пережив даже однократный аборт, в последующем вынуждены с замиранием сердца вводить в интернет-поисковики запрос «аборт бесплодие» в поисках способов решения трудной проблемы.
Кроме того, следует помнить, что последствия аборта женщина может ощутить, даже повторно зачав ребенка. Из-за некогда сделанного аборта в течение следующей беременности возможно негативное влияние на плод. Среди потенциальных рисков могут быть выкидыши (организм запоминает механизм невынашивания плода и не знает, как вести себя в случае естественного 9-месячного процесса беременности), аномалии развития плаценты (также ее расположения), преждевременный разрыв околоплодных оболочек и т.д.
Печальная статистика
К сожалению, для тысяч наших женщин словосочетание «аборт и бесплодие» идет в одном запросе, а составляющие его слова часто связаны между собой.
Согласно статистическим данным, около 10-12% женщин получают диагноз бесплодие в результате проведения аборта. То есть, каждая десятая женщина в России бесплодна.
Воспалительные заболевания.Воспалительные процессы у одних женщин могут проявляться сразу же после проведения данной процедуры, у других спустя некоторое время. В результате воспалительного процесса могут поражаться не только матка и маточные трубы, яичники, но и околоматочная клетчатка, брюшина, мочевой пузырь, прямая кишка.
Механические повреждения шейки и тела матки.Подобные повреждения наносятся в основном при проведении хирургического аборта.Повреждения шейки матки при аборте в дальнейшем могут привести к ее неспособности «удержать» беременность, на фоне чего развивается не вынашивание беременности, выкидыши, нарушение нормальной родовой деятельности.
Кровотечение.Любые попытки проникновения в матку во время беременности с целью ее перывания неизбежно ведут к нарушению целости сосудов (они в период беременности увеличиваются в длину, расширяются, при этом усиливается кровоток) и, как следствие, возникновению кровотечения. Кровотечение как осложнение аборта наблюдается также в случаях оставления во время операции в полости матки частиц эмбриона или плодного пузыря с плацентой. В данном случае кровотечение возникает не сразу после удаления, а через несколько дней или часов. В основном проводят повторное обследование с последующим выскабливанием полости матки.
Бесплодие.Чаще всего виновником бесплодия становятся искусственные аборты, особенно когда ими заканчивается первая беременность. Именно хронические воспалительные процессы половых органов (маточных труб, шейки матки, ее тела, яичников) после аборта способствуют развитию бесплодия.

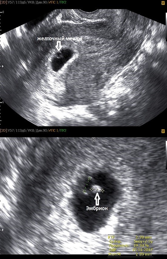
На основании приказа Минздрава России от 07.04.2016г №216н «Об утверждении формы информированного добровольного согласия на проведение искусственногопрерывания беременности по желанию женщины» проводится обязательное ультразвуковое исследование органов малого таза с демонстрацией изображения и сердцебиения эмбриона плода (при наличии сердцебиения) при сроке беременности 6недель. Отсутствие сердцебиения эмбриона плода считается признаком смерти, однако необходимо помнить, что у очень малого по размерам эмбриона (˂ 4мм) сокращения сердца могут не выявляться, поэтому УЗИ необходимо будет повторно провести спустя несколько (2-3) дней, чтобы подтвердить первое впечатление.
Значение длины эмбриона 5мм является пороговой величиной, выявленной при УЗИ, при которой сердечная активность должна визуализироваться во всех случаях
Первое УЗИ проводится на сроке от 3 недель и представляет собой знакомое всем женщинам трансвагинальное исследование (с использованием влагалищного датчика). Это обследование позволяет подтвердить беременность, установить количество плодов и проследить за сердцебиением эмбриона.
Со всеми женщинами, решившими прервать беременность, проводится профилактическая беседа с клиническим психологом и акушер гинекологом. После бесед женщины принимают решение сохранить беременность и встать на учёт или прервать.
При явке беременной женщины доводится информация о мерах социальной поддержки, действующих на территории Тамбовской области. Сведения о всех новшевствах доводится до женщин решивших стать мамой
- в ТОГБУЗ «Инжавинская ЦРБ проводится доабортное консультирование женщин акушер гинекологом, клиническим психологом ;
Так же всебеременные проходят консультацию психолога и юриста.
- в ТОГБУЗ «Инжавинская ЦРБ» имеется вся необходимая информация о мерах социальной поддержки, предусмотренных всеми законодательными актами для улучшения демографической ситуации в стране в целом, доводится в обязательном порядке до женщин, вставших на учет в женской консультации;
Все женщины, вставшие на учёт и нуждающиеся в услугах по оказанию правовой помощи получают её с учётом потребности каждой конкретной женщины.
С 1 января 2023 года в России было введено Единое универсальное пособие. Пособие могут получать беременные женщины, вставшие на учёт в ранние сроки (до 12 недель), и родители детей до 17 лет.
Назначает универсальное пособие с 1 января 2023 года Социальный фонд России, который объединил Пенсионный фонд и Фонд социального страхования.
Подать заявление на выплаты единого пособия можно непосредственно на портале Гос.услуг в специальной вкладке.
Телефон горячей линии Социального фонда: +7 (800) 600-07-54
С 1 января 2023 года семьям с низкими доходами выплачивается единое пособие, которое упразднило целый ряд ранее действовавших выплат. Право на получение нового пособия будет у семей с детьми в возрасте до 17 лет включительно и у беременных женщин, вставших на учет в ранние сроки. Размер пособия составляет 50, 75 или 100% от прожиточного минимума по региону.
Кто может получить единое пособие на детей до 17 лет:
Назначением и выплатой единого пособия с 1 января 2023 году занимается Социальный фонд РФ.
Получить пособие могут:
семьи, одинокие родители (усыновители, опекуны) с детьми в возрасте до 17 лет включительно
женщины, вставшие на учет по беременности в ранние сроки - до 12 недель
Условия назначения:
Средний доход в месяц на одного члена семьи не должен превышать размер регионального прожиточного минимума на душу населения.
Имущество семьи не должно превышать установленный перечень.
Члены семьи старше 18 лет должны иметь подтвержденный доход или уважительную причину его отсутствия.
Размер выплаты:
Для беременных женщин:от 50% до 100% регионального прожиточного минимума для трудоспособного населения.
Для детей: от 50% до 100% регионального прожиточного минимума для детей.
Размер пособия зависит от уровня дохода семьи:
50%от прожиточного минимума - базовый размер выплаты;
75%- назначается, если среднедушевой доходсемьи вместе с выплатой в размере 50% меньше прожиточного минимума на душу населения;
100%- назначается, если среднедушевой доход семьи вместе с выплатой в размере 75% меньше прожиточного минимума на душу населения.
Продолжительность выплаты:
Пособие беременной женщине выплачивается с месяца, когда она встала на учет, но не ранее 6 недель беременности и не ранее чем за период с 1 января 2023 года. Выплачивается пособие до месяца родов включительно.
Пособие на детей до 17 лет выплачивается с месяца рождения ребенка, но не ранее чем с 1 января 2023 года, если заявление подано не позднее 6 месяцев со дня рождения. В остальных случаях пособие выплачивается с месяца обращения за его назначением. Пособие назначается на 12 месяцев и продлевается по заявлению. Когда ребенку исполняется 17 лет, выплаты прекращаются.
Расчетный период:
Учитываются доходы членов семьи за 12 месяцев, предшествующих 1 месяцу до месяца обращения. Например, при подаче заявления в январе 2023 года учтут доходы за период с декабря 2021 года по ноябрь 2022 года.
Состав семьи:
При оценке нуждаемости учитывается доход и имущество членов семьи.
В состав семьи включаются:
заявитель;
супруг или супруга заявителя;
дети до 18 лет, в том числе под опекой;
дети от 18 до 23 лет, если они учатся очно.
Доходы бабушек, дедушек, бывших супругов, а также детей, вступивших в брак, не учитываются. Кроме того, не учитываются доходы членов семьи, призванных на военную службу по мобилизации.
Телефон горячей линии СТОП-АБОРТ Женщины с незапланированной беременностью смогут получить помощь и поддержку специалистов – юристов, психологов, соцработников, позвонив с 9 до 21 часа анонимно по номеру 8 (800) 200-04-92 По словам специалистов Фонда, известие о незапланированной беременности неизбежно выбивает женщину из состояния равновесия.
По вопросам социального обслуживания и социальной поддержки населения и беременным, малоимущим и многодетным женщинам можно обратиться к директору учреждения Долговой Н.Ф. по телефону 8-47553-27232, электронной почте kcson5@uszn.tambov.gov.ru или лично на приеме каждую третью пятницу месяца.
Информация о телефонах и адресах государственных и профильных СОНКО, оказывающих поддержку беременным, малоимущим, многодетным женщинам
ТОГБУ СОН «Забота»
г. Тамбов, ул. Московская, д. 27 А, (ул. Рабочая, 4а)
8 (4752) 42-49-60, 42-49-66, 42-49-67, 47-58-75
Центр социальной помощи Опека
г. Тамбов, ул. Коммунальная, д. 21а
8 (800) 250-04-49
Центр комплексной помощи «Теплый кров» при отделе по церковной благотворительности и социальному служению Тамбовской епархии.
г. Тамбов, ул. Железнодорожная, д. 131
8 (915) 888-70-30
ТОГКУ «Центр социальной поддержки граждан»
г. Тамбов, ул. Максима Горького, д. 18
8 (4752) 78-60-60, 78-60-62, 72-10-08
Тамбовский комплексный центр социального обслуживания населения
г. Тамбов, ул. Карла Маркса, д. 343а
8 (4752) 71-59-79
МУП Центр предоставления дополнительных мер социальной помощи и работы с отдельными категориями граждан г. Тамбова
г. Тамбов, ул. Базарная, д. 97а
8 (4752) 71-83-57
Управление социальной защиты и семейной политики Тамбовской области
г. Тамбов, ул. Московская, д. 27а
8 (4752) 79-16-02
Пенсионный фонд
г. Тамбов, ул. Интернациональная, д. 37
8 (800) 302 23-02,
8 (4752) 79 29-08, 79 43-93, 79 43-99.
ГЛУБОКОУВАЖАЕМЫЕ ЖЕНЩИНЫ, прочтите и ещё раз подумайте
Опусти секиру, мама. Не руби!
Моё крохотное тельце не губи!
Я — дыханье, Я — пушинка, Я — роса.
Я — твоя грустинка, мама, Я — слеза.
Дай мне жизнь — и я всегда буду с тобой,
Седину твою поглажу в час ночной.
На твои страданья, мама, отзовусь!
Я Данилкой, Я Наташенькой зовусь!
Отпусти секиру, мама. Не губи!
Моё крохотное тельце сохрани!

Аборт–это искусственное или самопроизвольное прерывание беременности с высоким риском осложнений для здоровья женщины.
Россия стала первой страной в мире, разрешившей в 1920 году аборт. Многие женщины думают, что зародыш в ранних сроках ещё не одушевлен и его можно убрать с помощью аборта. Они заблуждаются.
Научными наблюдениями доказано, что у зародыша в возрасте 18 дней ощутимы удары сердца, в 7 недель уже сформированы внутренние органы и фиксируются мозговые импульсы, в 10 недель у него всё уже сформировано как у детей после родов, в 13 недель зародыш уже поворачивает голову, делает различные движения, гримасничает, сжимает кулачок, сосет свой палец. И женщина решившаяся на аборт идет сознательно на убийство будущей человеческой жизни.
Прерывая беременность женщина рискует своим здоровьем, будущим материнством и своим женским счастьем. Каждая повторная операция многократно увеличивает этот риск! И не надо надеяться на чудеса современной науки, позволяющей зачатие в пробирке.
Постабортный синдром (страдание души).
Выражается в сочетании психических симптомов или заболеваний, проявляющихся на фоне переживаний и сожалений после аборта, даже при абсолютно здоровой психике женщины.Каждая женщина вправе решить сама делать аборт или нет. Вред аборта для организма женщины неизбежен.

